Knee and Ankle Joints – 360° Human with Quiz Welcome to your 360° Interactive Human. Use the i for more information and use the graduate symbol to test yourself with an interactive quiz. Coach_Lucy October 1, 2023 0 Comments
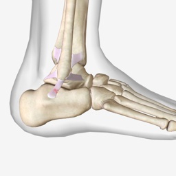
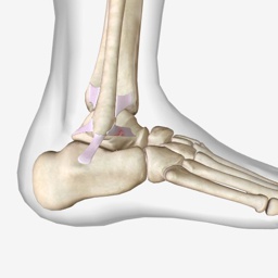
360° Human Lateral Ankle Sprain: Torn Anterior Talofibular Ligament Coach_Lucy June 1, 2024 0 Comments
Responses